突破!平邑县人民医院成功开展首例介入下胸主动脉瘤覆膜支架植入术,填补区域技术空白
来源:鲁网

鲁网4月3日讯近日,平邑县人民医院胸心外科成功完成县域内首例“介入下胸主动脉瘤覆膜支架植入术”,标志着医院在大血管疾病介入治疗领域迈出关键一步,成功填补了县域内该项医疗技术的空白,让以往需辗转至上级医院的危重患者,在家门口就能获得及时、精准、安全的救治,切实守护县域百姓生命健康。
“体内不定时炸弹”突发警报,多学科联手破局
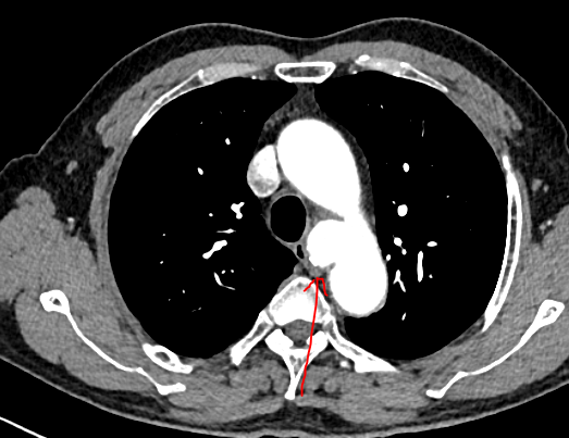
患者乔先生(化名)在查体时意外发现胸主动脉瘤,经主动脉CTA检查确诊后,医生发现其瘤体局部已出现先兆破裂迹象,随时可能发生破裂出血。要知道,胸主动脉是人体最大的动脉血管,堪称生命“主干道”,而胸主动脉瘤就像“体内的不定时炸弹”,一旦破裂,死亡率极高,救治刻不容缓。

传统开胸手术治疗胸主动脉瘤,创伤大、出血多、风险高,且患者术后恢复缓慢,对身体条件要求极高。而介入下胸主动脉瘤覆膜支架植入术作为目前治疗该类疾病的首选方式,具有创伤小、出血少、恢复快、并发症少等显著优势,无需开胸即可完成手术,能最大程度降低患者手术风险与痛苦。
面对患者的紧急病情,胸心外科管向臣主任第一时间组织团队研判,结合患者身体状况,与患者及家属充分沟通病情、手术方案及风险后,决定采用先进的微创介入技术为其治疗,全力守护患者生命安全。
周密部署,多学科协作筑牢手术安全防线
此次手术是县域内首例开展,技术难度高、风险系数大,医院高度重视,由医务科牵头,迅速组织血管内科、介入科、麻醉科、手术室、体外循环、心血管外科、重症医学科等多个科室开展术前多学科会诊,围绕患者病情、瘤体位置、手术难点及潜在风险展开充分讨论,详细评估患者整体健康状况,精准制定了周密的手术方案和应急预案。同时,在上级医院专家的全程指导下,手术团队对术中可能出现的支架移位、内漏、血管损伤等并发症做好了充分准备,为手术顺利开展筑牢安全防线。

精准微创,半小时破解“生死危机”
一切准备就绪后,手术在全身麻醉下正式开展。手术团队凭借精湛的技术,经患者右侧股动脉穿刺,精准置入导丝及导管,在数字减影血管造影(DSA)的实时引导下,将覆膜支架系统精准输送至主动脉瘤病变部位,确认位置无误后,精准释放支架。整个手术过程精准、高效,仅用半小时便圆满完成。术后即刻造影显示,动脉瘤被完全隔绝,主动脉血流恢复通畅,无内漏、支架移位等异常情况,手术效果达到预期。

技术赋能,让“大病不出县”照进现实
“过去,像这样的胸主动脉瘤患者,我们只能建议转往上级医院治疗,但转运过程中,瘤体随时可能破裂,风险极大。”管向臣主任介绍道,“现在,通过多学科协作和先进介入技术的应用,我们能够在第一时间为患者实施精准治疗,真正实现大病不出县的目标,让百姓在家门口就能享受到优质的医疗服务。”
近年来,平邑县人民医院持续加大学科建设力度,不断引进先进医疗技术,选派多名骨干医师赴上级医院进修学习,逐步打造出一支技术过硬、反应迅速、协作高效的医疗团队。此次首例介入下胸主动脉瘤覆膜支架植入术的成功开展,不仅是医院胸心外科及大血管疾病诊疗水平的重要突破,更拓宽了县域主动脉疾病的治疗路径,为全县及周边地区主动脉疾病患者带来了更便捷、更安全、更优质的治疗选择。
【科普链接】
胸主动脉瘤并非肿瘤,而是主动脉壁因各种原因(如动脉粥样硬化、高血压等)发生局部或弥漫性扩张,形成“瘤样”膨出。它起病隐匿,早期常无症状,一旦破裂,死亡率极高。介入下覆膜支架植入术是目前治疗主动脉瘤的主流微创技术。与传统开胸手术相比,该技术具有创伤小、出血少、恢复快、并发症低等显著优势,尤其适合高龄、基础疾病多、无法耐受开放手术的患者。(通讯员 续宁)
责任编辑:王军





黑公网安备 23010302001359号