罕见!巨大肿瘤如藤蔓般长进心脏 苏大附二院完成超高难度心-肺部联合手术为患者架起新生之桥
来源:江南时报网

当生命被一张布满肿瘤细胞的“蜘蛛网”牢牢束缚,当辗转国内多家医院均被告知“无法手术”,40岁的李先生(化名)一度滑向绝望的深渊。近日,在苏大附二院,一场历时11小时50分钟的极限手术改写了他的命运。由该院胸心外科主任陈勇兵教授领衔的团队,勇闯医学禁区,成功为李先生实施了“右心房及上腔静脉肿瘤切除术+左、右无名静脉-右心房人工血管转流术+右上肺叶切除术”。这例集心脏、大血管、肺部手术于一体的超高难度手术,不仅为患者打通了生命的通道,也标志着该院在复杂胸心外科领域再次实现技术突破。
绝境:上半身回心血流几近中断
正值壮年的李先生因头面部严重肿胀、颈静脉怒张、胸壁静脉曲张前往医院。检查结果令人震惊:巨大的肿瘤如藤蔓般侵入了他的右心房,上腔静脉几近梗阻,且肿瘤已侵犯右上肺。上腔静脉是人体上半身血液回流心脏的主干道,被肿瘤堵塞后,李先生的上半身血液无法顺利回心,导致头面部肿胀如斗,随时可能因心力衰竭或肿瘤进展而危及生命。

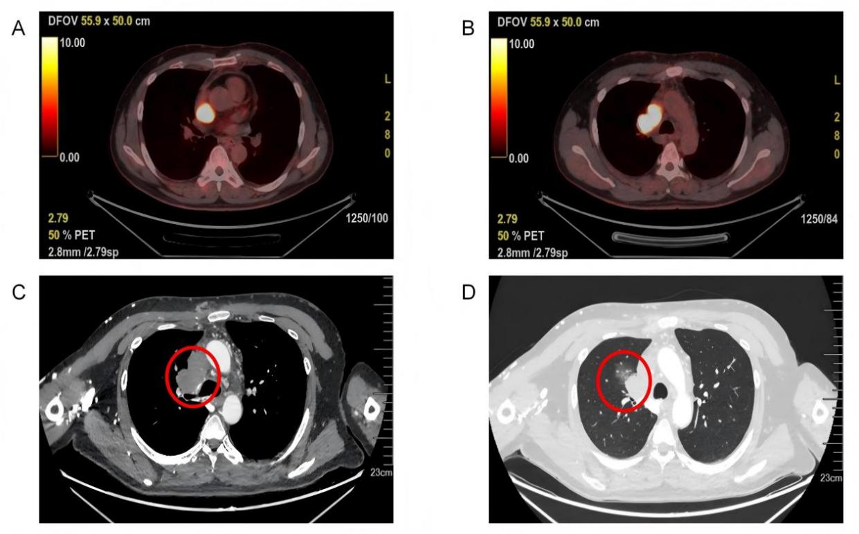
A:肿瘤侵占右心房;B:肿瘤堵塞上腔静脉;C:肿瘤压迫右主支气管;D肿瘤侵犯右侧肺门
面对这一极度复杂凶险的情况,患者辗转北京、上海等地多家知名医学中心,均因手术风险极高、涉及多器官系统而被婉拒。怀着一丝不甘,李先生回到苏州,慕名找到了苏大附二院胸心外科主任陈勇兵教授。
破局:多学科团队勇闯“禁区”
“病人以性命相托,我们必当全力以赴。”面对患者肿胀的面容和渴求的眼神,陈勇兵主任没有轻言放弃。收治这位被“宣判”的患者,意味着他们将要踏入随时可能引发大出血、心脏骤停的“雷区”,破解心脏大血管肿瘤合并肺部肿瘤的复杂“困局”。
2月27日,一场没有硝烟的战争在手术室打响。术中所见比预想更为严峻:右心房被肿瘤完全填塞,上腔静脉几近梗阻,且肿瘤已侵犯右上肺。手术的难点在于:如何在血供丰富的“禁区”完整切除肿瘤?如何同期处理心脏与肺部的病灶?如何重建上半身的回心血流?
关键时刻,陈勇兵主任团队在麻醉科朱江、覃琴两位主任的精准护航下,体外循环团队沈育美、朱蓉英、金星医生迅速建立人工心肺循环,暂时替代患者心肺功能,为心脏上的精细操作赢得了宝贵时机。随后,陈勇兵主任屏气凝神,毫米级分离肿瘤组织,精准切除了包含肿瘤的右心房组织和被堵塞的上腔静脉。

奋战在无影灯下的陈勇兵主任(右1)及其团队
新生:人工血管架起生命通道
切除病灶只是第一步,重建通路才是恢复正常血运保障生活质量的关键。陈勇兵主任以巧夺天工之技进行了血管重建:首先以自体心包补片修补右心房;随后,巧妙运用两条人工血管,分别架起了从右侧无名静脉至右心房、从左侧无名静脉至右心耳的两条生命通道,彻底恢复了上半身的血液回流。最后,团队完整切除了肿瘤累及的右肺上叶。

A:切除的肿瘤组织:①右心房及上腔静脉肿瘤,②右肺上叶;
B:重建的血管通路:①:自右侧无名静脉至重建的右心房,②自左侧无名静脉至右心耳。
当最后一根缝线打结完成,当体外循环机平稳停止运转,当患者的心脏重新恢复有力的自主跳动,手术室里响起了压抑许久的轻声欢呼。历时11小时50分钟的鏖战,团队不仅成功切除了肿瘤,更让淤积的血液得以欢畅奔流。这流淌的,不仅是鲜红的血液,更是汩汩不竭的生命之源,宣告着这个四十岁壮年生命的再度蓬勃与不息。

这例手术的成功,是苏大附二院胸心外科“胸心合璧”、多学科紧密协作的生动体现。它不仅是技术上的胜利,更彰显了医者“不抛弃、不放弃”的仁心与担当。目前,患者生命体征平稳,各项生理指标趋于正常,已迁入普通病房进行后续康复治疗。(王飞月 丁启峰)






黑公网安备 23010302001359号