锦旗致谢!20岁大学生深覆合矫正完美收官,重塑健康咬合与自信笑容
来源:鲁网

鲁网3月23日讯近日,青岛西海岸第二医院口腔正畸科主任杨丽霞收获了一份暖心认可——一名20岁在校大学生患者,在完成深覆合矫正治疗后,特地送来锦旗致谢,锦旗上“微笑设计师 乱牙拯救者”的字样,既是患者的真切赞誉,也是对杨主任专业诊疗与暖心服务的最佳肯定。

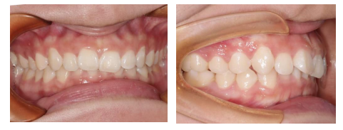
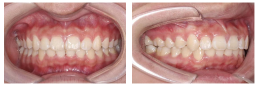
患者为一名在校大学生,初诊时存在深覆合二度、牙列拥挤一度等问题,不仅影响面部美观,咀嚼功能也备受困扰。在一年的诊疗周期中,杨主任展现了极高的专业素养与人文关怀。杨主任温柔有耐心,不仅关注牙齿排列,更秉持“全口健康”理念,每次复诊必先细致检查全口牙体及牙周状况,一旦发现隐患便立即交代清楚并同步处理,绝不让正畸“带病运行”;杨主任会线上耐心指导患者和解答患者疑问、详细表述注意事项,缓解患者焦虑,让矫正全程安心无负担。

经过一年矫治,患者咬合恢复至完美状态,面型显著改善。患者对治疗效果非常满意,对杨主任表达了感谢并赠送了一面锦旗。这面锦旗背后,是杨主任对“医疗不仅是修复,更是守护”的最好诠释。

认识深覆合,别忽视咬合问题
很多人会忽视牙齿咬合的异常,殊不知深覆合作为一种常见的错颌畸形,正悄悄影响着口腔健康与面部状态。
那么,到底什么是深覆合呢?
深覆合是一种常见的错颌畸形,指在上下牙齿咬合时,上颌前牙过度覆盖下颌前牙,垂直方向覆盖超过正常范围。
正常情况下,上前牙覆盖下前牙约 1–3 mm 或不超过下前牙牙冠长度的 1/3。
当上前牙切缘覆盖下前牙牙冠长度超过1/3,或下前牙咬合时触及上前牙舌侧超过1/3,即可诊断为深覆合。
口腔健康与咬合状态息息相关,深覆合的矫正不仅是为了让牙齿排列整齐、面部更美观,更是为了重建健康的咬合关系,守护全身的健康。口腔正畸科医生都会先评估患者的牙性和骨性程度、牙周健康及面部美学,为患者定制个性化综合方案。
如果您或家人存在咬合异常的问题,可以到口腔正畸科进行专业检查,让专业的医生为您的口腔健康保驾护航!
青岛西海岸第二医院口腔科医疗团队(部分)

杨丽霞,口腔正畸学硕士,主治医师。参与正畸临床诊疗工作十余年。现任中华口腔医学会总会、中华口腔正畸专委会及唇腭裂专委会会员;美国invisalign认人证医生。时代天使隐形矫治讲师,ifree隐形矫治讲师;多次参加正畸学术会议,于核心期刊发表论文数篇。
业务特长:主要从事口腔正畸学的临床及教学工作,擅长儿童青少年的早期矫治、成人矫治、正畸-正颌联合治疗、牙周病的正畸治疗等各类错颌畸形的正畸治疗。工作认真细致、有责任心,深受患者好评。

杨建军,青岛大学附属医院口腔颌面外科主任医师、三级教授、博士及硕士研究生导师,主要研究专业为口腔种植学、颞下颌关节病学、





黑公网安备 23010302001359号